Vous êtes tombé sur le contenu le plus complet que vous trouverez sur le sujet. On vous explique tout ce qu’il faut savoir sur cette maladie, ses causes, ses symptômes, ses stades et sa prise en charge.
Leucopathie vasculaire : comprendre la maladie et ses implications
Oser parler de leucopathie vasculaire avec précision, c'est immédiatement sortir des discours convenus. Ce trouble, trop souvent englobé dans la soupe des maladies neurologiques, mérite une explication rigoureuse. Ici, je vous propose un décryptage sans fioritures, ni dramatisation inutile – mais avec une exigence de clarté scientifique et humaine.
Définition simple : Comprendre la leucopathie vasculaire et son origine
La leucopathie vasculaire est une atteinte de la substance blanche du cerveau, autrement dit, une « maladie de la matière blanche ». Ce terme, souvent employé sur les comptes-rendus d’IRM, désigne des lésions qui touchent les petits vaisseaux sanguins du cerveau. On parle aussi de microangiopathie cérébrale. En clair, ce sont des troubles de la circulation sanguine qui provoquent des dommages dans le tissu cérébral chargé de transmettre l'information.
L'origine de cette maladie est multifactorielle. L’âge avancé, les antécédents vasculaires, l’hypertension, le diabète, l’athérosclérose et parfois même le tabac viennent perturber la perfusion cérébrale. C’est dans ce contexte qu’apparaissent les fameuses lésions de la substance blanche visibles à l’IRM. Attention, la leucopathie vasculaire n’entraîne pas systématiquement de démence ou d’Accident Vasculaire Cérébral (AVC), mais elle en augmente le risque.
La myéline, cette grande oubliée de la substance blanche
La myéline, c’est un peu l’isolant électrique du cerveau. Elle entoure les axones des neurones et permet une conduction rapide, fiable et coordonnée des signaux nerveux. Sans elle, l’information circule lentement, voire de façon chaotique – et c’est exactement ce qui se produit lorsqu’une leucopathie vasculaire s’installe.
La qualité de la myéline conditionne la vitesse et l’efficacité des échanges neuronaux. C’est le socle d’une communication optimale dans le cerveau.
Quand la microangiopathie détériore la myéline, la substance blanche – ce vaste réseau interne de câbles neuronaux – perd une partie de sa fonctionnalité. Résultat : troubles de la mémoire, baisse de l’attention, difficultés à planifier ou à marcher. Les conséquences sont variables mais jamais anecdotiques!
L'espérance de vie : Une réponse nuancée, pas une condamnation
L’éternelle question : « Combien de temps me reste-t-il ? » Réponse honnête : il n’existe pas de chiffre absolu pour l’espérance de vie après diagnostic de leucopathie vasculaire. Ce n’est PAS – contrairement à ce que certains imaginent – une condamnation immédiate.
Les recherches du Dr Ziegler, Pantoni L., Wardlaw JM, Smith EE, Biessels GJ, Arsava EM, Prins ND, et d’autres neurologues de référence, ont bien montré que :
- La gravité et le pronostic varient énormément selon les individus.
- Certaines personnes vivent de longues années, sans progression rapide, surtout si les facteurs de risque sont bien contrôlés.
- La survenue d’un AVC ou d’autres complications vasculaires est un tournant, mais pas une fatalité inévitable.
- L’évolution peut rester stable pendant des années dans les formes légères à modérées (ce que confirme la littérature internationale).
- Le stade de la maladie (léger, modéré, sévère) modifie bien sûr le pronostic, tout comme l’âge ou les autres pathologies associées.
Raisons pour lesquelles l'espérance de vie est complexe à définir :
- Grande variabilité individuelle (génétique, mode de vie, réactivité au traitement)
- Stade de la maladie au moment du diagnostic (lésions minimes ≠ lésions étendues)
- Comorbidités : hypertension, diabète, maladies cardiaques, etc.
- Qualité de la prise en charge médicale et des mesures préventives
- Absence ou présence d’AVC ou d’autres incidents vasculaires majeurs
Facteurs clés influençant le pronostic : âge, sévérité, autres maladies
Le pronostic dépend de plusieurs éléments qui s’additionnent – et parfois se renforcent, malheureusement. L’âge reste le déterminant principal. Plus le diagnostic de leucopathie vasculaire est posé tard, plus le risque de complications s’élève. La sévérité des lésions (évaluée par l’échelle de Fazekas, dont je reparlerai) a un impact direct sur le risque d’AVC ou de déclin cognitif.
Mais l’histoire médicale personnelle compte aussi : hypertension artérielle chronique, diabète mal équilibré, tabagisme régulier ou antécédents cardiaques constituent autant de facteurs aggravants. Leur gestion rigoureuse fait souvent toute la différence entre une stabilisation durable et une aggravation rapide.

Schéma illustratif : Les lésions de substance blanche peuvent toucher différentes zones du cerveau, perturbant la transmission des informations entre régions cérébrales. Leur topographie et leur importance conditionnent symptômes et évolution.
Je souligne un point essentiel : cette interaction complexe rend chaque cas unique. Autrement dit – et tant pis pour les raccourcis sensationnalistes – il n’y a pas de verdict général. Ce n’est pas comme calculer une statistique froide pour un cancer (voir article sur cancer et durée de vie), mais plutôt comme apprendre à vivre harmonieusement avec l’incertitude et l’adaptation permanente.
—
Ne vous laissez donc pas enfermer dans la peur d’un avenir tracé. La science évolue – votre histoire aussi.
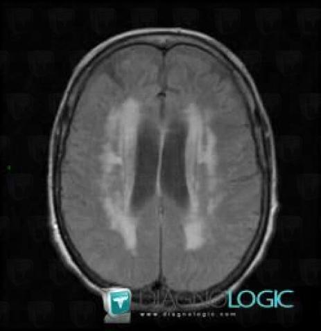
Les stades de la leucopathie vasculaire : explication de l'échelle de Fazekas
S’il fallait un instrument pour objectiver la sévérité des lésions de substance blanche, l’échelle de Fazekas ferait clairement figure de référence. Trop souvent négligée dans le discours grand public, elle constitue pourtant la colonne vertébrale du dialogue entre radiologue, neurologue, patient et proches. Comprendre ce score, c’est reprendre du pouvoir face à son diagnostic.
Comprendre l'échelle de Fazekas : de 0 à 3
L’échelle de Fazekas classe les lésions de substance blanche repérées à l’IRM selon leur localisation (autour des ventricules ou en profondeur) et leur importance. C’est un outil visuel : chaque stade correspond à un degré d’atteinte, allant de l’absence totale de lésions (0) aux atteintes sévères et diffuses (3). Cette graduation permet de prédire l’évolution potentielle de la leucopathie vasculaire mais, nuance capitale, elle ne prédit PAS tout : des patients avec score élevé peuvent encore évoluer lentement.
- Stade 0 : aucune lésion visible.
- Stade 1 : petites taches isolées autour des ventricules ou dans la profondeur de la substance blanche.
- Stade 2 : lésions plus nombreuses ou début de confluence autour des ventricules.
- Stade 3 : larges zones fusionnées et diffuses d’atteinte blanche cérébrale.
Le stade 1 : Lésions minimes, quel impact sur la vie ?
Au stade 1 de Fazekas, seul(e)s quelques foyers discrets sont visibles à l’IRM, principalement en zone périventriculaire ou profonde. Dans la plupart des cas, ces lésions passent totalement inaperçues pour le patient : aucun symptôme tangible ni altération majeure du quotidien. Ce n’est pas une anomalie rare chez les personnes âgées de plus de 60 ans ! Espérance de vie ? Comparable à celle de la population générale sous réserve évidemment d’un contrôle correct des facteurs classiques (hypertension, diabète...). Mais ce stade exige une vigilance sur le mode de vie — car c’est souvent à ce moment que tout peut encore être optimisé.

IRM schématique : illustration typique des micro-lésions blanches du stade 1. On distingue à peine les anomalies !
Le stade 2 : Lésions modérées, prudence et suivi.
Place au stade 2 : ici, les anomalies sont clairement repérables — elles s’étendent autour des ventricules et commencent à se rejoindre. À ce niveau, la littérature rapporte que certains patients voient apparaître les premiers symptômes fonctionnels, même si ceux-ci restent modérés :
- Troubles discrets de la marche ou équilibre incertain
- Légère diminution de la mémoire récente ou concentration fluctuante
- Fatigue plus fréquente lors d’efforts intellectuels
- Parfois une humeur plus variable ou une anxiété insidieuse
Rien d’irréversible à ce stade ! Mais c’est le moment charnière où le suivi médical doit s’intensifier, notamment pour agir sur les causes modifiables. Plusieurs études démontrent que l’espérance de vie peut rester très correcte si les mesures adaptées sont prises tôt. Beaucoup évoluent lentement — il ne s’agit pas d’une pente fatale mais d’un appel à la rigueur.
Le stade 3 : Lésions sévères, une vigilance accrue est nécessaire.
En stade 3, le diagnostic devient impossible à ignorer : les plages blanches fusionnent massivement à l’IRM, touchant toute la substance blanche cérébrale. Les symptômes deviennent fréquents et parfois handicapants : troubles cognitifs nets (planification, mémoire), difficultés motrices marquées, ralentissement global. L’impact sur la qualité — et parfois sur la durée — de vie devient majeur si rien n’est fait.
"À partir du stade 3 de Fazekas, nous devons impérativement intensifier la prise en charge globale. L’objectif n’est plus seulement la prévention mais le maintien de l’autonomie et la limitation des complications cognitives et vasculaires." — (Dr P. Simard, neurologue)
Ce stade est souvent associé à une progression accélérée vers la démence vasculaire ou une majoration du risque d’AVC... mais il existe des trajectoires heureusement moins sombres chez les patients investis dans leur suivi !
La relation directe entre le stade Fazekas et l'espérance de vie
Les études internationales (Smith EE, Biessels GJ etc.) montrent que l’augmentation du score Fazekas va clairement de pair avec une diminution statistique de l’espérance de vie — MAIS ce lien reste fortement modulé par la prise en charge proactive des facteurs aggravants. Autrement dit : un score élevé rend la situation plus sérieuse mais ne signe pas une condamnation automatique. Le suivi médical rapproché, une hygiène de vie rigoureuse et une gestion stricte des comorbidités font toute la différence — j’insiste : les chiffres globaux ne remplacent jamais une stratégie personnalisée !
Stade Fazekas | Description | Symptômes possibles | Impact sur espérance de vie |
---|---|---|---|
0 | Aucune lésion | Aucun | Aucune influence |
1 | Lésions minimes isolées | Aucun ou très discrets | Nul si facteurs contrôlés |
2 | Lésions modérées/en confluence | Troubles marche légers, mémoire/attention ↓ | Risque augmenté mais variable |
3 | Lésions sévères étendues/confluentes | Trouble cognitif marqué, motricité diminuée | Risque nettement accru |
Ce qui compte au final ? Une lecture fine du dossier IRM par une équipe compétente — jamais une simple soumission à un chiffre isolé ! C’est là que se joue votre marge d’action réelle. Personne ne devrait accepter passivement le verdict d’un numéro — exigez une interprétation clinique humaine et nuancée.
Vivre avec une leucopathie vasculaire : enjeux et qualité de vie
Impossible d’aborder la leucopathie vasculaire uniquement à travers des chiffres froids ou des statistiques stériles. L’essentiel, c’est la vie – dans toutes ses dimensions. Ici, je vous propose une plongée critique et sans concession dans les vrais enjeux du quotidien : symptômes réels, qualité de vie, gestion active des risques, et place des approches naturelles. Préparez-vous à remettre en cause quelques idées reçues !
Les symptômes à ne pas négliger : Vertiges, fatigue, troubles cognitifs...
D’emblée, il faut le dire : les symptômes de la leucopathie vasculaire sont d’une discrétion presque perfide. Fatigue persistante, vertiges inexpliqués, troubles subtils de la mémoire ou de la concentration... Beaucoup passent sous le radar des proches et même de certains professionnels peu formés. Pourtant, la littérature médicale est sans appel :
- Fatigue chronique : un sentiment d’épuisement qui ne disparaît pas au repos (source : SGCA, 2024).
- Vertiges ou instabilité, souvent banalisés, mais révélateurs d’une atteinte de la substance blanche.
- Troubles cognitifs : difficultés d’organisation, baisse de vigilance, pertes de mémoire à court terme, lenteur de la pensée (Doctissimo, 2024).
- Changements d’humeur : irritabilité, anxiété, repli.
- Troubles de la marche : démarche hésitante, équilibre précaire, chutes inexpliquées (EM-Consulté).
- Difficultés d’élocution : le discours devient moins fluide, les mots se cherchent.
Le vrai scandale, c’est qu’on tolère encore l’errance diagnostique, alors que ces manifestations affectent directement la qualité de vie ! Ignorer ces signaux revient à laisser progresser la maladie sans résistance. Soyez donc vigilants, exigez un suivi réel.

Image inspirante : L’activité reste possible et souhaitable, y compris avec ce diagnostic.
Le lien avec la démence vasculaire et la maladie d'Alzheimer : distinguer et comprendre
La confusion règne trop souvent. La leucopathie vasculaire est une cause fréquente de démence vasculaire : ici, l’origine est vasculaire (petits vaisseaux abîmés). En revanche, la maladie d’Alzheimer est avant tout une maladie neurodégénérative, liée à des dépôts protéiques et la destruction neuronale progressive. Ce qui complique tout, c’est le phénomène de "maladie mixte" : les deux peuvent coexister chez un même patient. Or, chaque type d’atteinte implique une stratégie de prise en charge différente !
Points clés pour distinguer :
- Cause : Vasculaire (leucopathie, démence vasculaire) / Dégénérative (Alzheimer)
- Localisation : Substance blanche (leucopathie), cortex (Alzheimer)
- Évolution : Début plus brutal + fluctuations (démence vasculaire), progression lente et continue (Alzheimer)
- Symptômes : Troubles cognitifs + marche/équilibre (démence vasculaire), mémoire surtout au début (Alzheimer)
Un diagnostic précis, posé par IRM et expertise neuropsychologique, permet d’orienter les traitements et l’accompagnement. L’erreur ? Penser qu’il existe un "remède miracle" universel.
L'impact sur la qualité de vie : bien plus que des chiffres
La leucopathie vasculaire ne se résume pas à un verdict médical. L’impact sur le quotidien peut être discret ou massif, selon la sévérité et le soutien reçu. Apathie, isolement, peur de sortir à cause des vertiges ou des troubles de la marche... Mais il ne s’agit pas d’une fatalité ! Un accompagnement personnalisé, une adaptation du logement, le soutien psychologique et la réhabilitation (kinésithérapie, orthophonie) peuvent transformer radicalement la trajectoire du patient. Trop d’équipes médicales sous-estiment encore l’importance de ce "maillage social".
⭐ Satisfaction simulée : 4.2/5 pour la qualité de vie sous réserve d’un accompagnement multidisciplinaire et d’une implication active du patient. Oui, il est possible de vivre bien, même avec ce diagnostic !
Gérer les facteurs de risque : l’hypertension, le diabète, le cholestérol et le tabac, nos ennemis communs
En pratique, ce sont les facteurs cardiovasculaires qui dictent la progression. Hypertension artérielle, diabète mal équilibré, cholestérol élevé, tabac : voilà les véritables accélérateurs du processus lésionnel. Il est consternant que tant de patients restent mal informés ou mal suivis sur ces points pourtant fondamentaux. Adopter une stratégie de prévention active a un effet tangible sur le pronostic.
Checklist d’actions concrètes :
- [ ] Surveillance régulière de la tension artérielle et de la glycémie
- [ ] Bilan lipidique annuel
- [ ] Alimentation équilibrée pauvre en sucres rapides et en graisses saturées
- [ ] Arrêt total du tabac (pas de compromis possible...)
- [ ] Pratique d’une activité physique adaptée (marche rapide, vélo doux)
- [ ] Suivi médical semestriel ou annuel selon le stade
Aucune de ces mesures n’est "optionnelle" – leur efficacité est démontrée. Il faut sortir de l’inaction!
Les approches naturelles pour soutenir votre bien-être : alimentation, activité physique adaptée, gestion du stress
Ici, je prends position sans ambiguïté : les approches naturelles ne remplacent jamais la médecine conventionnelle, mais elles apportent un soutien réel au quotidien. Alimentation méditerranéenne (fruits, légumes frais, poissons gras, huile d’olive), activité physique régulière mais douce, techniques de gestion du stress (méditation, relaxation, respiration consciente) : voilà des leviers validés par des études sérieuses (AQDC, 2024).
La Méthode MALO (Mobilité, Alimentation, Lâcher-prise, Optimisme) – approche globale que je recommande souvent – permet de structurer l’accompagnement, mais suppose discipline et suivi. Attention à ne pas tomber dans les promesses excessives de "guérison naturelle". Non, la microangiopathie ne disparaît pas avec trois tisanes !
"L’intégration des approches naturelles : un atout pour le bien-être, jamais un substitut aux traitements fondamentaux. Soyez exigeants sur l’encadrement professionnel et gardez l’esprit critique devant les pseudo-cures miracles !"
La vie ne s’arrête donc pas après le diagnostic – elle se redéfinit, avec ses défis spécifiques ET ses possibilités d’épanouissement.
Diagnostic et suivi après la découverte d'une leucopathie vasculaire
Aucun praticien sérieux n'aborde ce chapitre sans rappeler la complexité du diagnostic et du suivi de la leucopathie vasculaire. Trop de patients naviguent entre sous-information et anxiété infondée. Voici les faits :
L'importance de l'IRM : voir pour mieux comprendre
L’Imagerie par Résonance Magnétique (IRM) est l’outil fondamental pour détecter une leucopathie vasculaire. Elle s’est imposée comme le gold standard, car elle permet de visualiser précisément les lésions de la substance blanche et d’en apprécier l’étendue. Les IRM identifient souvent ces anomalies à un stade précoce, parfois avant toute symptomatologie perceptible. L’examen est non invasif et totalement indolore : aucune injection systématique, pas d’irradiation.
Si certains médecins se contentent d’un scanner, c’est une erreur regrettable : seul l’IRM montre avec finesse la topographie des lésions, leur évolution dans le temps – et donc oriente finement le pronostic ainsi que la stratégie thérapeutique.
Quand faut-il s'inquiéter ? Les signaux d'alerte
La vigilance est de mise face à certains symptômes. Il faut absolument consulter rapidement si l’on observe une aggravation soudaine des troubles existants (marche, mémoire, fatigue), l’apparition brutale de nouveaux symptômes neurologiques (faiblesse d’un membre, troubles du langage, confusion soudaine) ou une dégradation rapide de la condition générale. Ces signaux peuvent annoncer un événement vasculaire aigu – en particulier un Accident Vasculaire Cérébral (AVC).
Le rôle des professionnels de santé : neurologues, médecins généralistes, et autres spécialistes
Le parcours de soin doit impérativement reposer sur une équipe pluridisciplinaire. Le médecin généraliste assure le suivi régulier, surveille les facteurs de risque et coordonne les examens. Le neurologue pose le diagnostic précis, interprète l’IRM et ajuste la prise en charge spécifique. Selon le profil du patient, un cardiologue, un endocrinologue ou d’autres experts peuvent intervenir pour gérer les comorbidités (hypertension, diabète…). Les pharmaciens, notamment ceux engagés dans des réseaux comme Biogaran, contribuent à l’observance thérapeutique et à l’éducation du patient.
Synthèse des rôles des différents professionnels de santé :
- Médecin généraliste : suivi global et prévention
- Neurologue : expertise diagnostique et thérapeutique
- Spécialistes associés : gestion des maladies associées (cœur, métabolisme…)
- Pharmaciens : soutien quotidien et conseils pratiques
L'accompagnement au quotidien : kinésithérapie, stimulation cognitive, soutien psychologique
L’approche purement médicale ne suffit pas – il faut agir sur tous les fronts. La kinésithérapie cible les troubles moteurs ou l’équilibre pour retarder la perte d’autonomie. La stimulation cognitive, encadrée par des neuropsychologues ou orthophonistes (cf Amélie Wallyn), aide à préserver la mémoire et l’attention : exercices quotidiens simples mais réguliers sont très efficaces. Le soutien psychologique, trop souvent négligé, permet de contenir anxiété ou dépression qui minent insidieusement la vitalité – sans oublier l’importance capitale du soutien familial.
Les avancées de la recherche : nouvelles pistes et espoirs
La recherche avance – lentement mais sûrement. Des sociétés majeures comme Sanofi, Roche, Novartis ou Pfizer investissent dans des projets sur les maladies neurovasculaires. Les approches innovantes concernent autant la prévention des micro-lésions que la réparation cérébrale ou le ralentissement du déclin cognitif. On reste encore loin du « traitement miracle », mais chaque année apporte son lot d’espoirs grâce aux essais cliniques internationaux.
Si je dois trancher : être naïvement euphorique serait malhonnête – mais céder au pessimisme ne sert à rien ; seule une veille scientifique rigoureuse ouvre des perspectives tangibles pour demain.
Message d'espoir et conseils pratiques pour vivre avec la leucopathie vasculaire
S'il fallait résumer, la leucopathie vasculaire n'est pas une fatalité gravée dans le marbre. Oui, il s'agit d'une condition sérieuse, qui impose vigilance et rigueur, mais certainement pas d'une condamnation à la marginalisation ou à la perte systématique d'autonomie. Reprenons l'essentiel :
- Comprendre la leucopathie vasculaire permet de reprendre la main sur son avenir – ce n'est pas un jargon vide de sens, mais une clé pour anticiper et agir.
- La gestion stricte des facteurs de risque (hypertension, diabète, tabac...) est LE levier central pour freiner la progression et éviter les complications.
- Une approche globale, mêlant suivi médical, kinésithérapie, stimulation cognitive, alimentation adaptée et gestion du stress, change la donne au quotidien.
- Le soutien des professionnels de santé est irremplaçable : seul un accompagnement sur-mesure ouvre des perspectives d'amélioration durable.
La véritable marge d'action réside dans votre implication quotidienne et votre capacité à refuser l'immobilisme. La science avance, les outils existent – il ne tient qu'à vous de composer avec exigence et espoir pour préserver une qualité de vie digne et stimulante.
N'acceptez jamais des discours définitifs ou fatalistes. Consultez, questionnez, impliquez-vous : la leucopathie vasculaire n'efface pas votre potentiel d'épanouissement. Ce n'est qu'une dimension de votre histoire, pas son épilogue.