Le syndrome du jumeau perdu (ou "jumeau évanescent") est l'un des phénomènes psychologiques les plus fascinants qui soit. Pour une raison simple : il concerne potentiellement près d'1 personne sur 10. Et que ses manifestations peuvent littéralement empoisonner l'existence de ceux qui en sont victimes. Au point de les empêcher de vivre pleinement leur vie.
Il fait partie de ces sujets qui me touchent au plus profond de mon être. Car il fait écho à ma propre histoire. Et qu'il est la raison pour laquelle je fais ce que je fais aujourd'hui. Énormément de mes clients en sont d'ailleurs concernés.
Alors, j'ai décidé de lui consacrer un article ultra-complet (1500 mots).
Pour te permettre d'une part de le comprendre en profondeur.
Mais surtout, pour te donner les clés pour s'en libérer — et enfin t'autoriser à vivre ta propre vie.
Je ne te remercierai jamais assez de partager un maximum
Le syndrome du jumeau perdu : quand la vie commence avec un vide invisible 😥
Il existe peu de sujets aussi profondément tabous et incompris que le syndrome du jumeau perdu. Oubliez les clichés sur la rivalité fraternelle : ici, il s’agit d’un trouble dont l’origine est enfouie dans les tout premiers instants de la vie, bien avant le premier cri.
Qu'est-ce que le syndrome du jumeau perdu ? Définition et origine
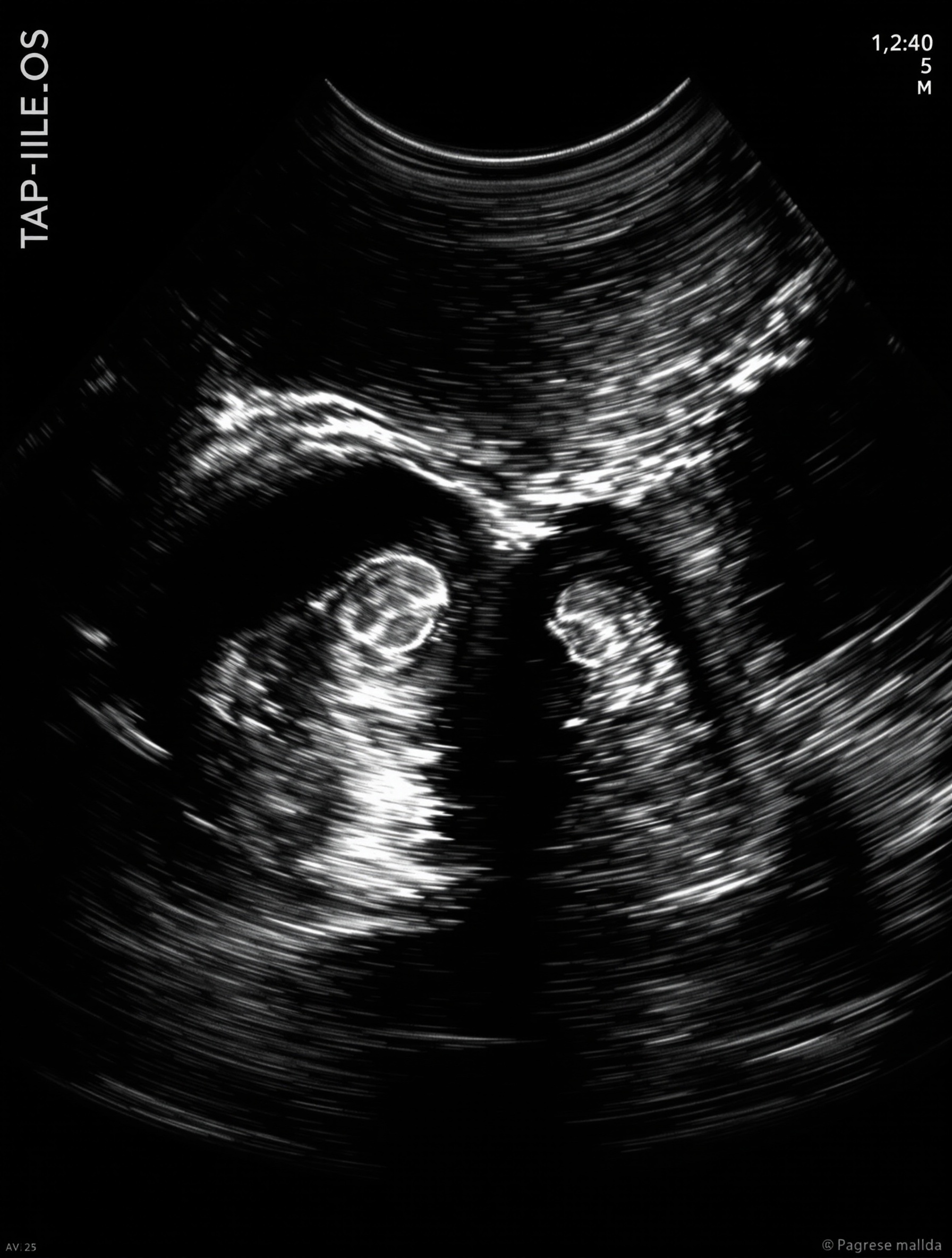
Le syndrome du jumeau perdu se manifeste chez des personnes issues d’une grossesse gémellaire où, sans souvent que les parents eux-mêmes en aient conscience, l’un des embryons — connu sous le terme de jumeau évanescent — disparaît au cours du premier trimestre. Les médecins parlent alors de "jumeau évanescent" lorsque le second fœtus cesse de se développer, laissant son frère ou sa sœur traverser seul(e) la gestation (Parents.fr).
Les points clés à retenir :
- Perte d'un jumeau in utero : souvent au tout début de la grossesse (premier trimestre).
- Notion de “jumeau évanescent” : disparition physique mais empreinte psychique persistante.
- Impact psychologique réel, même si la perte semble "invisible" et n’est généralement pas reconnue par l’entourage familial ou médical (kinesiologue-sante.fr).
Anecdote : Petite confidence très personnelle… Pendant des années, je ressentais une impression diffuse d’être « inachevé », comme si quelque chose ou quelqu’un me manquait pour donner un sens plein à mon existence. Ce n’est qu’à l’âge adulte, au détour d’une consultation en décodage biologique, que ces sensations inexplicables ont pris un sens — et croyez-moi, cela change tout.
Pourquoi cette perte laisse-t-elle une empreinte si profonde ?
La gravité du vécu ne dépend ni de son souvenir ni de sa visibilité. Si la disparition du jumeau survient bien avant toute conscience cognitive, l’empreinte précoce s’inscrit dans l’inconscient corporel. Le survivant a connu un lien fusionnel d’une intensité inégalable dès ses premiers jours. La rupture brutale de ce lien crée une fracture originelle : sentiment d’unité brisée, impossibilité de faire un deuil reconnu ou verbalisé. C’est un deuil sans sépulture.
« L’absence ne laisse aucune trace visible mais sculpte pourtant chaque recoin de l’identité. »
L’absence de reconnaissance sociale augmente encore la difficulté : impossible de partager cette douleur avec ses proches quand eux-mêmes n’en savent rien ou refusent d’y croire. Pourtant, les recherches cliniques s’accordent à dire que cette expérience peut façonner toute la construction identitaire et influencer durablement la manière d’entrer en relation avec autrui (Babyboom.be).
Face à ce vide invisible, il importe de sortir du déni collectif et d’oser poser des mots justes. Pourquoi accepter de survivre dans une identité diminuée quand il est possible de percer ce secret précoce et ainsi reprendre possession de soi ?
Les manifestations insidieuses du syndrome du jumeau perdu : des signaux à décrypter 🧐
Le sentiment persistant de manque et d'incomplétude
Rares sont les vécus aussi puissamment silencieux que le manque chronique ressenti par les personnes concernées par le syndrome du jumeau perdu. Il ne s'agit pas d'un simple "vide existentiel" comme l'évoquent certains psy à la mode, mais d'une impression viscérale d'inachevé, d'une pièce manquante dont personne ne connaît la forme exacte. Cette sensation est documentée par de nombreux spécialistes : elle s'ancre dans chaque cellule comme une nostalgie sans objet, un regret muet, une quête de complétude inatteignable (francis-lemaire.fr).
Prenons l'exemple de Sylvie (prénom modifié), qui confiait lors d'un atelier de décodage biologique : « Depuis toujours, j'ai la sensation étrange de chercher un lieu, une personne, un sentiment, sans jamais mettre le doigt dessus. Même comblée, il me manque quelque chose, mais quoi ? ». Ce témoignage, loin d'être isolé, fait écho à une multitude d'histoires similaires.
La tristesse diffuse, elle, s'immisce dans la vie du survivant sous forme de mélancolie chronique, d'une incapacité à se réjouir pleinement des bons moments, d'une nostalgie permanente pour une "autre vie" jamais vécue. On la retrouve même dans l'art : combien de romans parlent de héros hantés par une absence, sans que le lecteur puisse identifier le motif de leur chagrin ? Ce n'est en rien un hasard.
Les difficultés relationnelles : peur de l'abandon et auto-sabotage
Là encore, oublions les explications simplistes. La perte d'un jumeau in utero engendre chez le survivant une peur archaïque de l'abandon, qui parasite souvent toutes ses relations ultérieures (heleneporryhypnose.fr). Cette peur, démesurée et irrationnelle, pousse parfois à l'auto-sabotage : se rendre indigne d'amour, saborder une relation quand elle devient trop impliquante, ou même s'accrocher à des partenaires toxiques par peur d'être à nouveau "séparé".
Le mécanisme de défense est implacable : mieux vaut quitter l'autre ou se faire rejeter avant de souffrir, que de revivre ce drame originel – même s'il est inconscient ! C'est là une répétition du scénario initial, presque inévitable si l'on n'a pas mis au jour ses racines profondes. Certains chercheurs parlent même d'une propension à rechercher des "âmes soeurs" impossibles à satisfaire, comme si seul un autre jumeau pourrait enfin combler ce gouffre.
Angoisse, culpabilité et somatisation : quand le corps hurle ce que la bouche tait
L'angoisse diffuse fait partie intégrante du tableau. Ce n'est pas une peur rationnelle, mais une tension permanente, une crainte omniprésente qui ne trouve jamais d'objet clair. La culpabilité inconsciente – "Pourquoi moi et pas l'autre ?" – ronge le ressenti du survivant (kinesiologue-sante.fr). Plusieurs thérapeutes, comme Alfred et Bettina Austermann, ont montré comment ce sentiment peut conduire à l'auto-punition (échecs répétés, refus du bonheur), voire à une difficulté à recevoir ce que la vie offre.
N'oublions pas la somatisation : le corps parle quand la parole échoue ! Douleurs chroniques inexpliquées, troubles digestifs persistants, migraines récurrentes… Autant de symptômes qui traduisent une souffrance non formulée. Selon certains praticiens en décodage biologique, ces manifestations physiques sont la "voix" du traumatisme gémellaire initial.
L'impact sur la prise de place et l'affirmation de soi
Parmi les conséquences insidieuses, le sentiment de ne pas avoir droit à sa place dans la vie est capital. Beaucoup de personnes touchées racontent cette difficulté quasi permanente à s'imposer, à prendre la parole en public ou à s'affirmer dans le groupe (moncarredesable.com). Comme si chaque réussite était illégitime, comme s'il fallait constamment demander pardon d'exister. Qui oserait dire ouvertement : « Est-ce que je prends la place qui ne m'était pas destinée ? ».
Qui vous a demandé d'excuser votre naissance ou de minimiser vos aspirations ? À quel moment avons-nous décidé qu'il fallait s'effacer par loyauté envers un absent dont nous ignorons tout...?
Certains thérapeutes osent l'hypothèse suivante : tant que cette question n'est pas confrontée frontalement, le syndrome continue d'œuvrer en coulisses, sabotant chaque tentative d'émancipation ou de succès. Il n'y a là rien d'anodin ni d'exagéré : c'est bel et bien une révolution intérieure qu'il faut amorcer pour sortir enfin de l'ombre.
Les origines profondes du syndrome du jumeau perdu : comprendre ses racines 💡
La perte d'un jumeau avant la naissance : le deuil impossible
Rares sont les deuils aussi sournois, aussi inachevés, que celui du jumeau disparu in utero. Ce deuil est qualifié d’impossible pour une raison cruelle : au moment où la perte survient, ni l’enfant ni même souvent sa famille n’en ont conscience. Aucun adieu, aucune cérémonie, pas de trace dans le livret de famille ([DUMAS, Pouzineau]). Pour l’enfant survivant, le « fantôme » du jumeau accompagne chaque pas, parfois toute une vie. Florence Millot, psychologue spécialisée dans le deuil périnatal, insiste sur ce fait : l’absence de reconnaissance sociale ou rituelle verrouille le travail de deuil. Le survivant porte un manque qui reste lettre morte pour l’entourage — et c’est précisément ce silence qui fait basculer le vécu dans l’indicible.
L'influence du 'jumeau évanescent' sur le développement psychique et l'identité
L’ombre du jumeau évanescent est loin d’être anodine. De nombreux survivants se retrouvent confrontés à une confusion identitaire chronique : suis-je complet ? Qui occupe vraiment cette place ? Selon des chercheurs en psychanalyse et psychologie périnatale ([DUMAS]; [mon-psychotherapeute.com]), les choix de vie, les talents reniés ou au contraire survalorisés, trouvent parfois racine dans ce dialogue intérieur avec l’absent. La sensation de porter un double destin — le sien et celui de l’autre — pèse lourdement. Certains rapportent même un sentiment de « vivre à deux dans un seul corps » ou de s’effacer pour laisser la place à quelqu’un qui n’est plus là.
| Mode d’expression | Impact potentiel |
|---|---|
| Prise de place affirmée | Sensation d’usurpation, peur de trahir l’absent |
| Effacement ou discrétion | Difficulté à s’exprimer, peur d’occuper trop d’espace |
| Hypercompétence | Besoin de compenser le manque, sentiment d’être « en mission » |
| Instabilité identitaire | Quête du sens, alternance entre surestimation et dévalorisation |
Question brutale mais essentielle : sommes-nous toujours libres dans nos choix ou suivons-nous inconsciemment la trace laissée par un autre ?
Les mécanismes psychologiques en jeu : identification et deuil non résolu
Face à ce trauma archaïque, l’inconscient collectif – et celui du survivant – met en place des mécanismes d’adaptation puissants, souvent invisibles. L’enfant va parfois s’identifier inconsciemment au disparu : il reproduit des scénarios (auto-sabotage, refus du bonheur), développe des comportements d’auto-protection (isolement social ou fuite émotionnelle) ([laetitia-gailleton.com], [voiesymbolique.net]). Ce processus est documenté par des cliniciens comme Claude Imbert ou Sophie Gilain : lorsque le deuil reste non résolu, des symptômes surgissent même à l’âge adulte — angoisses existentielles, troubles somatiques chroniques. L’histoire se répète alors sous une forme méconnue mais tyrannique.
Le rôle des croyances familiales et transgénérationnelles
Les non-dits familiaux sont rarement neutres. Dans bien des familles françaises, le chagrin entourant une perte gémellaire n’est jamais évoqué. Ces tabous créent des loyautés invisibles (voire des « fardeaux transgénérationnels ») : l’enfant survivant hérite non seulement du manque mais aussi des mémoires émotionnelles enfouies de ses parents ou grands-parents ([voiesymbolique.net], [connaissensdesoi.com]). Difficile alors de s’affranchir d’un secret qui n’est pas le sien mais qui conditionne jeux relationnels, aspirations professionnelles et vécus affectifs. La honte ou la tristesse muette deviennent alors des héritages toxiques — ce qui est insupportable doit être mis en lumière si l’on veut s’en libérer !
Toute souffrance tue lorsqu’elle reste ignorée. N’attendons pas que le silence familial devienne une prison intérieure.
Vivre avec le syndrome du jumeau perdu : transformer la douleur en force 💪
Reconnaître et nommer le syndrome : la première étape vers la guérison
On ne sort pas indemne d’un tel vécu en le niant ou en minimisant ses effets. Reconnaître l’existence du syndrome du jumeau perdu, c’est déjà ouvrir une porte sur soi-même : un acte fondateur, sans lequel aucun chemin de guérison n’est possible ! Mettre des mots précis sur cette blessure, c’est refuser l’invisibilité, exiger enfin la légitimité de sa souffrance. On ne guérit pas d’un secret qu’on ignore : il faut le débusquer, l’accueillir et, parfois, le raconter pour que naisse une libération inespérée (voiesymbolique.net).
Il est navrant de constater à quel point la société rechigne à valider cette réalité, comme si la disparition d’un jumeau « non-né » n’était pas une perte. Pourtant, reconnaître ce trouble, nommer son histoire intime, c’est déjà amorcer un virage essentiel vers la reconstruction.
L'importance d'un accompagnement professionnel (psychologie, naturopathie...)
Il serait illusoire de croire que l’on peut toujours « s’en sortir seul ». Dans mon expérience de thérapeute, les personnes les plus résilientes sont souvent celles qui ont osé demander de l’aide — et pas à n’importe qui. Un professionnel formé aux traumatismes précoces (psychologue clinicien spécialisé, thérapeute en décodage biologique, naturopathe) saura offrir un espace sûr où l’on peut enfin déposer sa peine.
La naturopathie, trop souvent sous-estimée, joue un rôle précieux : gestion du stress chronique par les plantes adaptogènes, rééquilibrage du terrain émotionnel via la nutrition ou la relaxation profonde. Pour ceux qui traversent déjà des parcours médicaux complexes (PMA/FIV), ce suivi global s’avère capital pour éviter la somatisation.
Checklist pour choisir son accompagnant :
- Écoute active et sans jugement
- Formation spécifique (trauma prénatal, deuil complexe)
- Capacité à adapter la démarche aux problématiques PMA/FIV
Explorer les approches alternatives pour dénouer les blocages émotionnels
Si vous voulez de vrais résultats, arrêtez de tourner en rond avec des thérapies superficielles ! Les constellations familiales permettent de visualiser et réparer symboliquement le système familial blessé. Le décodage biologique aide à traduire les symptômes corporels en messages inconscients liés à la perte gémellaire. La kinésiologie donne accès aux mémoires enfouies grâce au test musculaire ; quant au rebirth, il favorise une reconnexion profonde avec la mémoire cellulaire du trauma.
Toutes ces pratiques ont un objectif commun : dénouer les blocages inconscients et redonner au corps et à l’esprit leur liberté d’expression. Ce n’est pas du folklore ésotérique — c’est une exploration sérieuse des racines somato-émotionnelles validée par des milliers de cas cliniques (souffledor.fr).
Spiritualité et conseils pratiques : intégrer le deuil, retrouver sa pleine présence
La dimension spirituelle ne relève pas du luxe accessoire : elle offre souvent le sens qui manque cruellement à l’épreuve du syndrome gémellaire. Que vous soyez croyant ou simplement ouvert à une forme de transcendance, investir ce champ permet d’honorer le jumeau perdu et de donner sens au processus de deuil (christinedescargues.com).
Quelques pistes concrètes :
- Tenir un journal d’exploration intérieure pour poser ses ressentis sans filtre
- Créer un rituel symbolique (bougie, lettre non envoyée…) afin d’honorer le lien invisible
- Pratiquer la pleine conscience : méditation quotidienne ou simple pause attentive pour se ramener dans l’instant
- Ne plus s’interdire les moments de joie — l’allégresse survivante n’est pas une trahison !
S'autoriser à vivre pleinement sa propre vie 🌟
Il est temps de l’affirmer sans détour : vivre avec le syndrome du jumeau perdu n’est en rien une condamnation à la douleur ou à la survie en demi-teinte. Les recherches et témoignages convergent : reconnaître cette blessure, c’est enfin s’offrir l’opportunité de guérir, de créer une vie authentique (voir kinesiologue-sante.fr, christinedescargues.com).
Vous n’êtes ni « cassé » ni condamné à l’incomplétude. Les manifestations du syndrome – manque, tristesse, somatisation, doutes identitaires – sont bien réelles, mais elles ne définissent pas votre être profond. La guérison est possible et passe par le courage de s’autoriser à exister pleinement, avec son histoire, ses failles, ses élans. Refuser l’invisibilité de votre vécu, chercher un soutien adapté, oser la joie, ce sont là des actes de résistance et d’amour de soi puissants.
Points clés à retenir : Le syndrome est réel, les manifestations sont diverses, la guérison est possible, s'autoriser à vivre est essentiel.
Ne laissez personne minimiser votre parcours. S’autoriser à vivre sa propre vie, c’est s’affranchir des loyautés invisibles et ouvrir la porte à tout ce que vous méritez. Je vous le dis sans détour : vous avez le droit, voire le devoir, d’embrasser l’existence dans toute sa richesse. À vous de jouer maintenant !




